小児矯正治療の症例は
こちらをご覧ください
主な原因は歯の大きさとあごの大きさのアンバランスや舌や唇の癖などにより起こる事が主です。
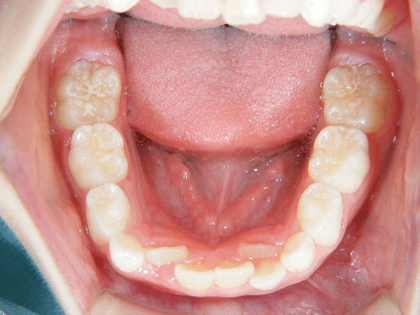
お子様本人やお母さんがはじめて歯並びの悪さに気付かれるのは5~7才頃です。
もっとも多いのは、下の前歯が乳歯が残っているのに内側に生えてくるケースです。この場合、乳歯を抜くだけで自然に正しい位置に永久歯が並ぶことはありますが、あごが小さい場合は、あごを広げて歯が並ぶスペースを作ってあげる必要があります。




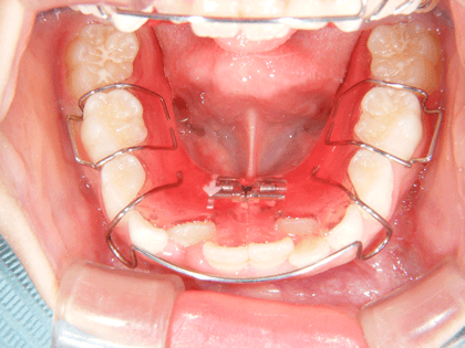
5~7才の段階であごが小さいと分ったときにすぐに床矯正をしておけば、お子さんの負担も家庭の経済負担も軽く済みます。様子を見てその時放置しておくと犬歯が生えるスペースが無くなってしまい、複雑な矯正治療になってしまいます。 お子さんの歯並びがおかしいと感じた頃が治療開始のタイミングです。
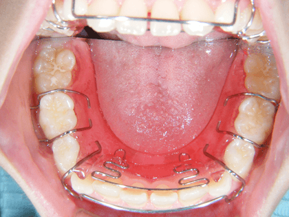
お子さん自身で付け外しが出来る装置なので痛みがあったときには簡単に取り外せます。また、歯磨きの時も取り外せる為、磨き残しのリスクが少なくなります。最初は違和感があるかもしれませんが大体、すぐ慣れてきます。
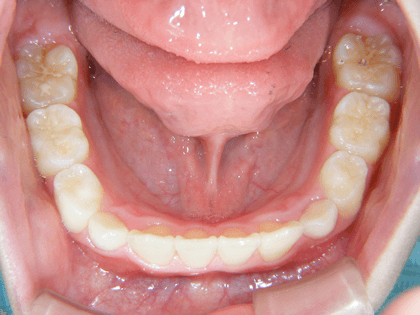
口の周りの筋肉をきちんと使って噛む練習をして噛み合わせが安定すれば後戻りしにくくなります。大切なのはしっかり噛む練習をすることです。当院でしっかりフォローしていきます。一緒に頑張りましょう!
床 (しょう) とは入れ歯のような着脱式の矯正装置です。
歯を移動させて歯並びを整えたり舌や唇などのお口の機能を改善する目的で使用します。


当院は「床矯正研究会 (全国)」に入会しておりますので、転勤などで他県に引っ越しをしても、治療を引き継ぐことが可能です。
矯正装置がカラフルになりました。好きな色やデザインを選んだり、好きなシールを入れたりできるので、お子様にも大変喜ばれています。



3歳児から受け口 (反対咬合) 治療が可能なムーシールドは、お子さんの口のまわりの筋肉や舌の動きを正しく導き、受け口を治す着脱式の装置です。主に夜寝ている時に装着します。



口のまわりには多くの筋肉が並び機能しています。
舌も筋肉のかたまりです。きれいな歯並びの人の舌は嚥下する (飲み込む) 時、上あごを押さえつけるようにぴったりと収まります。
しかし受け口の方は嚥下の都度、舌は下あごを前に押します。従って上あごは小さく、下あごは大きくなってしまうと考えられてます。すなわち、口のまわりの筋肉が正しく機能しない時、噛み合わせが悪くなるということです。
永久歯に生え変わる時、自然に治ることがあります。ただし、かなり少数例となります。
かみ合わせを逆のままにしておくと下あごが成長しやすい状態になっています。
下あごが取り返しのつかないほど大きくなってしまう前に治しておくべきです。年齢が高くなってしまうと大きくなりすぎてしまって下あごの骨を手術で小さくする方法になってしまいご本人の負担が大きくなります。
反対咬合の原因の1つは舌が低い位置で機能していることです。ですから、治療目標はまず舌を挙上することです。そのための器具が機能的顎矯正装置ムーシールドです。就寝中に使用します。取り外しできる装置ですから上手く使えなかったり諸条件によっては期待する効果が得られないとこもあります。
ムーシールド治療法は大抵の場合、およそ1年間を目標に治療します。
一度治したら「もう大丈夫」という人が大半です。しかし、成長がスパートする頃、再治療を必要とする場合があります。定期健診は重要になります。女子は15~16歳、男子は17~18歳まで成長します。その頃まで定期健診を続けることが理想です。
反対咬合は遺伝します。顔形はご両親に似ます。残念ながら反対咬合の家系があります。しかし早めに対処することでかなり改善できると考えております。いずれにしても、遺伝の有無にかかわらず早めに受診することをおススメ致します。
自由診療で2万円以上のお支払いには
クレジットカードをご利用いただけます。
