成人矯正治療の症例は
こちらをご覧ください
みなさんが毎日、何気なく使っている歯。実はその良し悪しで人生に大きな違いがでます。
…って少し大げさでしょうか?
いえいえ、決してそんなことはありません。たった1本のむし歯から調子を狂わせてしまう方もいるくらいです。それが歯の集合体としての歯並びや噛み合わせになるとその影響は計り知れません。
若年期から壮年期まで一生涯、生活に密着しているのが「歯」であり「噛み合わせ」なのです。
そして、逆に言うと、歯と歯並び、噛み合わせがしっかり管理できていれば、長い人生で生活を非常に有利に導くことができます。そんな快適な暮らしを送るにはどうしたらよいか、一緒に考えてみましょう。

今起こっている問題 (むし歯、歯周病、脱離など) だけを解決しても、その原因が取り除かれない限り、また同じ問題が起こります。その原因の主なものは噛み合わせやむし歯、歯周病のリスク因子です。噛み合わせが原因で特に奥歯が悪くなっている方はたくさんいます。奥歯にむし歯がよくできたり、詰め物、かぶせ物が外れたりするのは噛み合わせに要因があるかもしれません。
生涯、歯を健康に保ち、体も健康に保つにはかかりつけ歯科医院を作って、噛み合わせとむし歯、歯周病リスクを継続的に管理してもらう必要があるのです。

矯正治療とは「歯を動かす治療」です。
歯は歯根膜を介して歯槽骨に埋まっており、力をかけると歯槽骨の中を動きます。矯正治療はその力の方向や強さを管理することで、意とした位置や方向に歯を移動する治療法です。
一口に矯正治療といっても、考え方、診断、治療時期、動かす範囲、歯を抜くか抜かないか、矯正装置など、やり方は星の数ほどあります。それぞれ利点、欠点があり、すべての患者さんに最適といえる万能な唯一の治療法は現在、存在しません。よって、主訴、年齢、骨格、歯列などを総合分析して、オンリーワンの治療方法を探る必要があります。
歯列が整うことによる利点はたくさんありますが、主な2つをお話しします。
歯科医として私が考える最大の利点はこれです。
歯列不正は清掃不良だけでなく、力の干渉が起こりやすく、むし歯や歯周病、破折のリスクが高くなります。80歳で20本以上歯が残っている人の歯並びを調べると、歯列が整っている人がほとんどであることがわかりました。特に反対咬合や開咬 (前歯が噛んでいない噛み合わせ) の人はゼロという報告まであります。私の臨床印象も同様です。
口の中に大きな問題が起こっている方の根本の原因を探ると、噛み合わせが大きく関与していることが多いです。噛み合わせが悪いことは、歯みがきをがんばっていても、どんどん歯が悪くなる怖い要素と言えます。

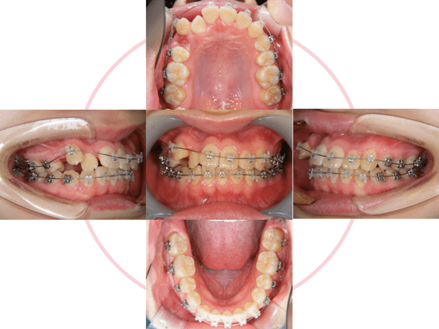
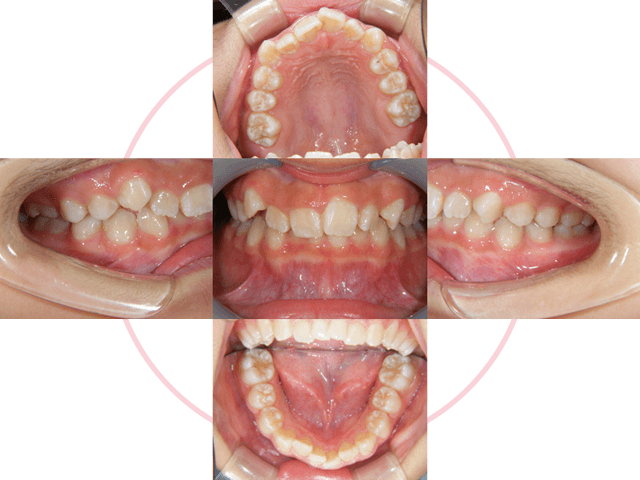
治療前

治療後
特に前歯が噛んでいない状態と八重歯は奥歯に負担がかかり、むし歯や歯周病が進行しやすい噛み合わせです。
人生において、見た目は何より大きな影響を与えます。「人は見た目が9割」なんて本もベストセラーになったくらいに。恋愛、仕事だけでなく、人付き合いに関わるすべての機会で最も判断される要素は断トツ「見た目」です。なので、自分では歯並びや前歯の色が気にならなくても、対面する人は気にしているかもしれないのです。
そして、知らないうちに損をしている可能性があります。目の大きさや鼻の高さは変えるのが大変ですが、歯なら改善できるチャンスがあります。

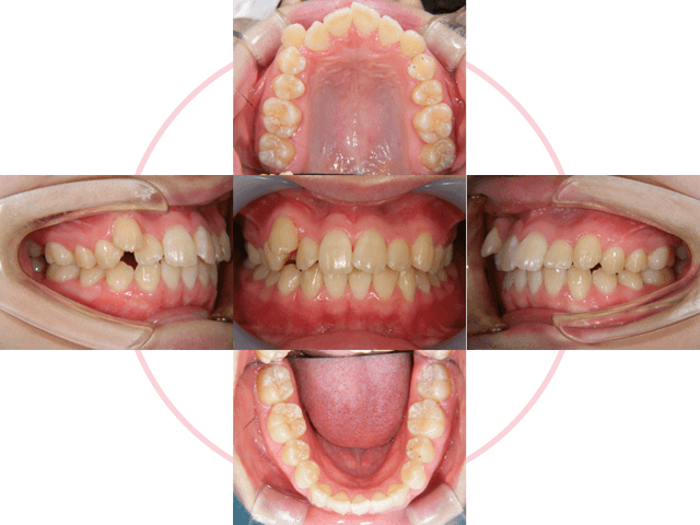
治療前

治療後
1年半の矯正治療で人生が変わることもあります。口元、笑顔の印象はそれだけインパクト大です。
顔貌と口腔内診査より、あなたにあった矯正治療の概要を説明します。当院での治療例をお見せして、仕上がりの目安を共有し、治療期間や費用を概算します。
矯正治療において何より大切なのが、ゴールの設定です。
目的地なしで航海には出られません。そのゴールを設定するためにいくつかの検査が必要になります。顔貌と口腔内の写真、歯型から作る石膏模型、レントゲン各種などです。
検査結果より診断を行い、治療計画を立てます。
主訴を加味した専門的見地でいくつかのパターンからの選択になります。このとき、歯を抜くか抜かないか、矯正装置の選択を行います。


歯を動かす装置を装着して、矯正治療を始めます。また、矯正治療を始める前に親知らずの抜歯が必要な場合があります。
動的治療が開始したら、1か月に1回の受診になります。

歯並びが目標の位置に来たら、動的治療終了です。矯正装置を除去します。
動的治療が終わったら、保定が必要になります。保定とは歯をその位置に留めておく処置です。歯に固定するものと取り外し式のものがあります。
矯正後の歯は元の位置に戻ろうとする力がかかります。少なくとも動的治療と同期間は保定が必要です。

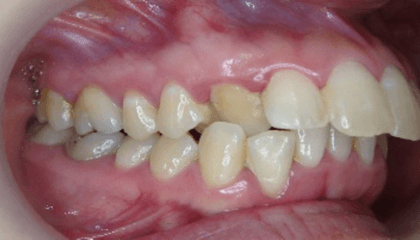
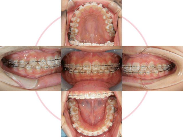
Case 01
1
下の前歯が、先天的に1本少ない患者さんです。上下の歯の本数が違うために、右上犬歯が八重歯になっています。
2
治療計画を立ててカウンセリング後、治療を開始します。ブラケットを歯に接着して、形状記憶合金のワイヤーを装着します。右上第一小臼歯を抜歯しています。
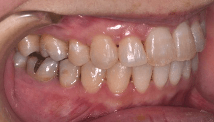
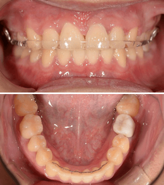
3
動的期間1年半で終了です。
4
ブラケットを外しました。上は着脱式の保定装置、下は前歯の裏側で保定しています。
Case 02
透明に近く、目立ちにくいマウスピース型の矯正装置 (アライナー) を使った歯列矯正法が「インビザライン・システム」です。
革新的技術により、緩やかでありながら効果的に歯を適切な位置に移動し、歯並びを整えます。

アライナーは透明に近く目立ちにくいため、装着していることがほとんどわからず、見た目によるストレスが軽減されます。
食事や歯みがきの時はアライナーを取り外すことができるため、普段通りに歯のお手入れができ、口腔内を衛生的で健康な状態に保つころができます。
アライナーは金属を使用しないため口の中の違和感が少なく、矯正装置が外れてしまうなどのトラブルの可能性も少なくなります。
インビザライン・システムは、軽度な歯列矯正から中等度および重度の不正咬合までの症例を治療することが可能です。
歯と歯の隙間が空いてる状態のこと
上の歯が下の歯を覆い隠している状態のこと
デコボコした歯並びのこと
上の歯が下の歯の内側に入っている状態のこと
下の歯が前に出ている状態のこと (受け口)
上下の歯が噛み合っていない状態のこと
初診は歯科医師によるカウンセリングです。
まずは現在の歯並び等についてのお悩みをお聞きいたします。
治療計画を作成するために、写真・レントゲンおよびデジタルスキャンまたは歯型をとり患者様の治療計画を作成します。3Dの治療計画では、予測される歯牙の最終位置が示されるほか、おおよその治療期間が確認できます。
作成された内容を元にカスタマイズされたアライナーが製造されます。
アライナーを患者様にお渡しします。患者様は、毎日アライナーを装着していただき、1~2週間ごとに新しいアライナーに交換します。
約4~6週間ごとに通院し、歯科医師の診察をうけていただき、治療経過を確認していきます。
治療終了後、歯牙の位置を安定させるためにリテーナー (保定装置) の使用が必要となることがあります。その後は定期検診での確認を行う事で計画通りに進んでいるか、変更点が必要か判断していきます。
マウスピース矯正は、ワイヤーを使った矯正治療の場合と同様の適用範囲と考えられています。担当歯科医師の治療方針、使用する装置の種類等によって対応できる範囲が異なります。まずはお気軽に当院までご相談ください。
患者様の歯列の状態によって異なります。歯列矯正治療をおこなう際には、歯牙を移動させるスペースを確保するため、あるいは歯の形や上下のバランスを整えるためなど、場合によってエナメル質を削る事があります。この場合はもっとも硬いエナメル質の範囲内で少し削るために、痛みも少なく、削ったことによる虫歯のリスクも低いと言われていますが、治療の詳細についてはご相談ください。
月に一度や、数か月に一度など、治療の進み具合は様々です。治療経過の確認などのための通院は必要になります。
矯正装置をつける前に虫歯や歯周病の治療を済ませる場合が一般的ですが、まずは口腔内を診て判断いたしますので、お気軽にご相談ください。
歯列矯正治療は、基本的に保険が適用されない「自費診療」になります。初診カウンセリング・ご相談は無料ですので、費用のことなども含めどうぞお気軽にご相談ください。
分割払いの場合、クレジットカードや信販会社などを利用できます。
マウスピースは取り外しが可能なため、治療中も普段通りに歯みがきができます。いつでも取り外して歯のお手入れができるため、健康な口腔衛生を保ちやすくなります。
お手入れは簡単です。着脱後は、柔らかい歯ブラシでマウスピースを水洗いしてから口内に装着してください。
マウスピースが壊れたり、装着に違和感が出てきた場合には、出来るだけ早めにご連絡をお願い致します。
痛みの感覚に個人差はありますが、マウスピース型矯正装置は、段階的に歯を動かしながら歯並びを矯正するので、痛みが少ないと考えられています。
自由診療で2万円以上のお支払いには
クレジットカードをご利用いただけます。
