親知らずを抜かなくてはいけないのか、悩んでる方は多いと思います。親知らずを放っておくと次のようなトラブルを起こす可能性があります。




親知らずは歯ブラシが届きにくく虫歯になりやすい歯です。治療も困難で、むし歯になったら抜歯するのが一般的です。(生え方や咬み合わせにより、治療して保存する場合もあります)
上の親知らずの場合、周囲の骨も柔らかいので簡単に抜歯できて、術後の痛みも無いケースがほとんどです。
親知らずが傾斜して前の歯に引っかかっているケースは、前の歯が虫歯になりやすいので、症状が無くても早期に抜歯した方が良いことがあります。

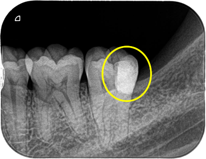
上の写真のケースでは、親知らずが横を向いて前の歯との間に食渣が非常に挟まりやすい状態になっていました。患者さんご本人も気になっていましたが放置されていたため、左下の歯が痛くなり、来院された時には親知らずの前の歯が神経に達するほどのむし歯になっていました。
ここが虫歯になると、神経に近接しているため治療が困難になり、神経の治療を行っても予後が悪くなります。

上の写真のケースでは、むし歯が神経まで達していましたが、マイクロスコープを使用して、歯髄保存療法とダイレクトボンディングで神経を保存、歯の切削量も必要最小限で治療を行うことができました。
しかし、本来は虫歯になる前に親知らずを抜歯しておけば、このような処置は必要なかった可能性もあります。親知らずが埋伏していて気になった場合には、早めの診査・治療をお勧めします。
1問診、視診とレントゲン、CTにより親知らずの状態を確認します。
2上顎の場合は上顎洞との位置関係、下顎の場合は下顎管という神経との位置関係などを診査します。
3以上の検査を踏まえた口腔内の状況をご説明し、患者様の同意を得た上で抜歯します。
※親知らずを診査した上で、病院歯科での抜歯が適切と判断した場合は、福岡大学、福岡歯科大学などに紹介させていただきます。