歯周病治療の症例は
こちらをご覧ください
誰のお口の中も、雑菌が数多く住みついています。それを常在菌といいます。
いろいろな菌がバランスを保って存在することによって、外から悪い菌が入ってこないようにするための大切な菌です。
歯周病菌も、誰の口の中にもいる常在菌の一つと考えられています。ただし、菌が異常に増えすぎると、体にとって良くない状態になり、歯周病になります。



また、歯周病の進行にはカンジダというカビの一種も関係しているといわれています。カンジダも、誰の口の中にも存在する常在菌ですが、数が増えすぎると体にとって良くないです。
カビはネバネバしているので汚れがたまりやすく、汚れが多くたまると歯周病菌が繁殖してしまいます。寝たきりのお年寄りなど、体の抵抗力が低下している方のお口の中が不潔だと、カンジダ症を発症することがあります。
口の中を見ると、歯の周りに歯ぐきがあり、歯ぐきが歯を支えているように見えます。正常な歯ぐきの厚さは2~3ミリです。歯根の周りは骨で、骨が歯を支えています。歯ぐきは骨に薄皮を貼ったように貼りついています。
歯ぐきは、歯に触れているだけで、直接つながっていません。そのため、歯と歯ぐきの間にはすき間があります。このすき間を歯周ポケットと言います。正常な歯ぐきの厚さは、2~3ミリですので、正常な歯周ポケットの深さも2~3ミリということになります。
骨は、歯根に密着しているのでは無く、非常に薄い歯根膜という無数の繊維で歯根とつながっています。ですので、歯は触ると必ず少し動くように『遊び』があります。

口の中の汚れがたまりやすい部分は、歯と歯ぐきの境目です。
歯のツルツルしている表面には、汚れはたまりにくいです。部屋の中でも、汚れがたまるのは隅っこで、人が歩くところは、自然にきれいになってますよね。お口の中も、歯の表面は舌や頬の粘膜が当たる所は、ある程度きれいになっています。
汚れがたまると、汚れをエサにする歯周病菌が繁殖します。
歯周病菌が繁殖すると、体にとって良くないため、防御反応として歯ぐきの血行が活発になり、白血球が菌を退治しようとします。
その結果、歯ぐきがむくんで、歯ぐきから出血しやすくなります。つまり、歯ぐきから血が出るのは、体の防御反応の結果と言えます。






一般的な歯周病治療は、歯石取りと歯みがき指導です。
汚れを取り除くことで、歯周病菌の繁殖をおさえ、歯肉の炎症もおさえることが可能です。しかし、菌が多い場合はすぐに再発したり、大きな効果が得られないことが多いです。



菌が繁殖している場合、当医院では菌を退治する飲み薬 (アジスロマイシンという化膿止め) を処方します。この薬は、内科でもよく処方される一般的な薬で、1日1回、3日間飲んでいただきます。3日間飲むと効果が1週間持続する薬です。
他に、歯ブラシにつける薬も使っていただきます。ハリゾンシロップという元々カンジダ症の方に飲んでいただく飲み薬を、歯ブラシに1滴つけて磨いていただきます。目薬の容器に小分けして処方します。カビを退治することにより、汚れが落ちやすくなる効果があります。症状により、1~2本使っていただきます。
ハリゾンシロップは本来飲み薬で、歯ブラシにつける薬ではありませんので保険がききません。1本660円(税込) になります。
お薬を飲んでいただくのは、基本的に初回のみです。 お薬を飲むことによって、一時的に菌叢がきれいになっても、お口の中が不潔だと再び歯周病菌が繁殖します。その度に薬を飲んでいると、菌が強くなって薬が効きにくくなっていきます。
菌叢がきれいになって、歯石を取って、しっかり歯磨きすることにより、再び歯周病菌が繁殖しないような口の中の環境を作ってあげることが大切です。
歯周病が進行しないためには、毎日の歯磨きと定期的な検診、メンテナンスがとても大切です。
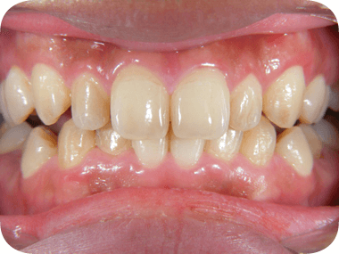
汚れが原因で歯肉が腫れています。歯周病菌も増えているので、お薬を飲んでいただきます。

歯肉の赤味が少し減りました。
菌の状態も改善してきています。歯石取りと歯みがき指導を行います。

歯肉の状態がかなり改善しました。
この状態をキープすることが大切です。

タバコの中のニコチンには、血管収縮作用があります。そのため、タバコを吸う方の歯ぐきの中は血行が悪くなっています。その結果、歯周病菌が繁殖しても、菌を退治するために血行が活発になりません。菌を退治するための防御反応が起きないため、知らないうちに歯周病が進行していきます。
タバコを吸う方の特徴は、歯ぐきからの出血は少なく、ゴツゴツしていて一見歯周病では無さそうですが、レントゲンを撮影して骨の状態を確認すると、歯周病が進行しているケースが多いです。
今回飲んでいただくお薬も、血液によって運ばれますので、タバコを吸わない方よりもお薬の効き目が悪くなります。歯周病が進行して後で後悔する前に、全身的な健康にも良くないタバコは、出来ればやめることをお勧めします。
歯周病の予防と進行を防ぐには、毎日の歯磨きと定期的な検診・メンテナンスがとても大切です。
日ごろから口の中を歯磨きで清潔に保ち、定期的に検診を受け、歯科衛生士によるプロフェッショナルクリーニングを受けることで、歯周病菌の繁殖を抑えることができます。
定期検診時に汚れが多くたまっていたら、歯肉の状態は改善せず、歯周病は進行していきます。検診時に「よく磨いてあるのでほとんど汚れが残っていないですね!」という状態が理想です。
お口の状態や歯並びなど、口腔状況は人によって様々です。それぞれの患者様に合った効果的な歯みがき指導も行っていますので、どうぞお気軽にご相談ください。