インプラント治療の症例は
こちらをご覧ください

チタンという金属が、あご骨と結合します。その上に、上部構造という歯の頭の部分を造ります。
入れ歯の咬む力は、天然歯の5%にも満たないが、インプラントの場合は天然歯に近く硬い食べ物でも美味しく味わえます。
インプラントは直接あご骨に埋め込まれるため、入れ歯のような面倒な取り外しが要らず、天然歯のように便利です。
インプラントは直接あご骨に埋め込まれるため、ブリッジのように健康な歯を削る必要がありません。インプラントは抜けた歯だけ補う治療方法で、周囲の歯には影響を与えません。
入れ歯より食べ物の味、温度、食感がはっきり感じられて美味しく食事を召し上がれます。
インプラントを埋め込んだ上に総義歯をはめる方法もあります。
それにより総義歯がしっかり固定され、口腔内で安定します。歯ぐきの痛み、外れやすいなどの欠点から解放されます。インプラントの本数を少なく義歯を安定させる方法です。
早い・痛くない・術後の腫れがほとんどない
当医院では、ほとんどこの方法で埋め込みします。
インプラントは歯が抜けた後、あご骨の中に人工の歯根を埋め込んで咬めるようにする最も新しい治療方法です。入れ歯などの悩みを抱えていても「インプラント手術がこわい」「体調に自信がない」ということであきらめている方がいらっしゃると思います。
当院では、そのお悩みを解消すべく、手術方法を改良し、歯肉を開かずに、お体の負担を少なくする特殊な方法でインプラント手術を行っています。
※骨の状態により、適応でない場合もございます
口腔内診査、レントゲン、CTなどから、骨量は十分と判断し歯肉を開かずに埋め込みすることになりました。
歯肉を開いていないので、出血もなく縫っていません。
1本の埋め込みなら、15分程度で終了します。この状態で3~4ヶ月待ちます。
インプラントと骨が結合したら、歯型を採って、歯冠になる部分を作ります。
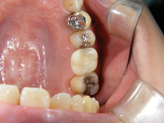
下の写真は、ジルコニアという素材です。ネジで固定します。
ネジで固定するシステムですので、咬み合わせの面に穴が開いています。
専用のレンチでネジを締めます。
ネジ穴を詰め物でふさいで完成です。
専用の道具で必要に応じて着脱することが可能です。
ネジの緩みや清掃状態などのチェックやアフターメンテナンスを定期的に行います。
インプラントを埋める部分に、骨の幅が足りないときは、骨を人工的に作る必要があります。

①骨の量が少ない所にインプラントを埋めると歯根部分が露出します。

②露出した部分を覆うように、人工の骨の材料を入れて待ちます。

③数ヶ月後、骨が足りなかった部分に骨ができます。
上あごの奥歯の部分で、上顎洞という空洞が大きいために骨が薄い場合、骨を人工的に作る必要があります。

①上顎洞が大きいために骨の厚さが足りない場合、インプラントを埋め込むことが出来ません。

②上顎洞の粘膜を、慎重に持ち上げます。その際、安全性の高い特殊な器具を使います。

③持ち上げた粘膜のすき間に、人工骨を入れて厚みが出来たところに、インプラントを埋め込みます。
④インプラントが骨と結合するのを待ち、上部構造を作っていきます。
近年、インプラント治療の成功率は飛躍的に伸びています。
20年累積残存データとして、上顎90%以上、下顎95%以上成功と言われています。
しかし、骨の状態により歯周病のように骨が下がったり、金属疲労によりインプラント本体が破折するケースもまれにあります。
以下の方はインプラント治療が出来ない場合があります。
・顎の骨の成長が終わっていない若い方
・一部の骨粗しょう症のお薬を服用中の方
・喫煙量の多い方
・アルコール依存症の方など
インプラント手術中は麻酔をしっかりとかけますので、痛みはほとんど感じません。麻酔は通常の歯科治療と同じものです。
また、当医院の手術方法は、出来るだけ侵襲の少ない方法に改良していますので、実際に手術された患者さんの感想は、思ったより楽だったというものがほとんどです。
| 埋め込み代 | 1本 187,000円~(税込) |
|---|---|
| 上部構造 (ジルコニアの場合) | 187,000円~(税込) |
| GBR、ソケットリフト | 110,000円~(税込) |
自由診療で2万円以上のお支払いには
クレジットカードをご利用いただけます。
