精密むし歯治療の症例は
こちらをご覧ください
むし歯から歯を守り保存する治療は「むし歯・歯髄治療」と「修復治療」に分かれます。
「むし歯・歯髄治療」とはむし歯菌に感染した歯質を除去する処置で、むし歯菌が歯髄の近くもしくは中に及んでいる場合は神経処置まで含めます。
「修復治療」はむし歯によって失った歯質に人工物を用いて、機能、見た目の回復をする処置です。
まずはじめに、むし歯菌に感染した歯質をすべて取り除く処置が必要になります。
むし歯菌は境界不明瞭に歯の中に入り込んでいます。健全歯質も含め、大きく削れば、取り去ることは容易です。しかし、それでは歯髄の保存はおろか、歯の寿命まで大きく削ることになりかねません。
エナメル質は、むし歯菌や冷気などから歯髄を守る重要な砦です。
エナメル質は硬いですが、その内層の象牙質は比較的軟らかいので、入り口が小さくてもむし歯は中で大きく広がります。
歯質をできるだけ保存しながら、むし歯菌に感染した歯質を除去することが、むし歯治療の最も大きなポイントです。
歯髄 (歯の神経) を保存できるかどうかは歯の寿命に大きな影響を与えます。
以前はむし歯菌が歯髄に感染したら、歯髄を除去していました。今では新しい術式ができ、歯髄を保存できる可能性が格段に上がっています。しかし、どうしても歯髄を保存できない場合は根管処置が必要になります。
歯科に限らず、細かい操作を行う場合、拡大下の方が精密な作業ができることは想像に難くないでしょう。歯科は非常に狭い範囲で勝負しなければならない処置がたくさんあります。むし歯治療も大きく削って、大きく詰めれば、時間をかけず簡単に処置できます。しかし、それでは歯の寿命を大きく縮めてしまいます。


当院では、歯の寿命を考えた「できるだけ削らない」「できるだけ神経を取らない」「できるだけ元通りの状態に戻す」治療のために最高性能のマイクロスコープを導入し、拡大された視野の中で、妥協のない精密なむし歯修復治療を行っています。
当院でむし歯の修復治療としておすすめしているのが、ダイレクトボンディングという治療方法です。ダイレクトボンディングとはむし歯や破折で欠損してしまった歯質に対して、ハイブリッドセラミックレジンを直接接着して回復させる治療です。
型取りが必要ないので、最小限の歯の切削で治療ができます。歯をできるだけ削らないことが、歯の寿命を長くすることにつながります。
高度接着システムで隙間を最小限にすることで歯質と接着させるので、2次むし歯のリスクを低く抑えることができます。
20種類以上の色から、その歯にあった色調を選べるので、周囲の歯質や歯に溶け込んだ自然感が得られます。
ダイレクトボンディングによるむし歯修復治療は全て保険適用外 (自由診療) になります。
ダイレクトボンディングは自由度の高い治療です。代表的な7つのパターンを紹介します。



ダイレクトボンディングの適応として最も多いパターンです。
バージンカリエスはどれだけ歯質を残しながら、むし歯菌感染歯質を除去できるかが勝負になります。歯間離開やトンネリングなどの方法を使ってエナメル質の保存を可及的に残します。隣接面は適切な接触点を与えます。
写真の症例は両側の隣接面からむし歯になっていました。むし歯を取り残さない最低限のエナメルの削合を行っています。上から見ると入口はこの程度の大きさですが、中広くむし歯を除去した窩洞が拡がっています。歯髄には達していない状態でした。



むし治療がされていて、その修復物が脱離したり、2次むし歯になったりしたときの治療です。
すでに歯が削られている状態からさらにむし歯菌感染歯質を除去するため「歯髄処置が必要なリスクが高い」「広い範囲の修復治療が必要になる」という問題が起こりやすいです。
写真の症例は金属の修復物の下に2次むし歯ができたケースです。かなり深かったですが、歯髄処置なしで済みました。広範囲の修復なので、色調より、物性重視で丈夫な素材を選択しました。隣接は物が挟まらないように適切な接触点を与えています。



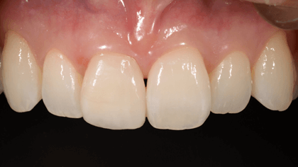
前歯の隣接面はむし歯の好発部位です。特に若年者でむし歯リスクが高いと多発する場合もあります。
前歯は奥歯と違い、見た目もとても大事になります。ギャップなく充填するのはもちろんですが、色調や形態も自然に仕上げる必要があります。
写真の症例は左側上顎中切歯と側切歯の間の象牙質むし歯です。中切歯は比較的深く、歯髄近くまで及んでいました。歯頚部の不透明感から切端部の透明感を表現するために5種類の色調を使用しました。表面をピカピカに研磨することで、きれいなだけでなく、変色、着色も予防することができます。



歯髄を取った歯の従来の治療方法は前歯・奥歯に関わらず、かぶせ物になります。
かぶせ物は私もよくしますし、優れた治療法ですが、歯を削る量が多いのが難点です。歯の寿命は歯質の残存量に大きく依存します。高度接着システムのダイレクトボンディングで可能な場合はできるだけかぶせ物を回避することにしています。
写真の症例は外傷のケースです。昔、前歯を打って、歯が割れ、歯髄も失いました。失った歯質をプラスチックで何度修復してもきれいにならず悩まれていました。ファイバーコアを用いたダイレクトボンディングを行っています。



歯並びのアンバランスで歯と歯の間に隙間がある人がいます。特に隙間が上顎前歯の正中にある場合、目立つので、気にされることが多いです。
矯正治療により、歯を動かして閉鎖する治療法が第一選択になりますが、ダイレクトボンディングを適応できることもあります。
写真の症例は上顎前歯の正中をダイレクトボンディングにて閉鎖したケースです。歯の横幅が広くなるので、不自然にならない工夫が必要です。矯正治療ならより自然な仕上がりになる可能性もあります。それでも、1日で治療が終了するとしたら、ダイレクトボンディングは時間的に大きなメリットがあると言えます。



むし歯が大きいとむし歯菌感染歯質を除去中に歯髄が露出する場合があります。従来は歯髄を除去する処置になっていました。歯髄を失い、かぶせ物をした歯の寿命は短くなっていました。
現在の歯髄保存システムはMTAセメントを用いたもので高確率で歯髄を温存できます。歯髄の有無は歯の寿命に大きく影響します。
写真の症例はむし歯が大きく、冷水痛がある状態でした。う蝕歯質を除去すると歯髄の露出を認めましたが、MTAセメントにて封鎖することで歯髄を保存できました。両側隣接面をダイレクトボンディングで修復しています。



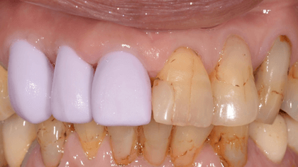
すでにかぶせ物が入っている場合の治療はセラミックのかぶせ物になります。
部分修復の歯の審美治療はダイレクトボンディングが最も侵襲が少なくできます。かぶせ物やインプラントの隣接歯にマイナーな審美治療を行う際、ダイレクトボンディングは最適と言えます。
写真の症例は上顎前歯6本の審美障害が主訴でした。右側3本はすでにかぶせ物が入っていたのでセラミックのかぶせ物としました。左側3本はパッチワークのようなプラスチック充填がされていました。その充填を全て除去して、ダイレクトボンディングとしました。
自由診療で2万円以上のお支払いには
クレジットカードをご利用いただけます。
