CONTENTS
入れ歯治療の症例は
こちらをご覧ください
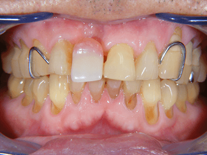
保険の義歯 (入れ歯) は、義歯 (入れ歯) を維持するための金具 (クラスプ) があります。 ノンクラスプデンチャーは弾力のある特殊な樹脂で維持します。







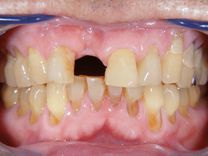
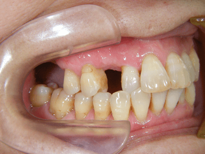
・入れ歯の金具が見えてお悩みの方
・インプラント、ブリッジに抵抗のある方
・義歯の装着時のフィット感が良くない方
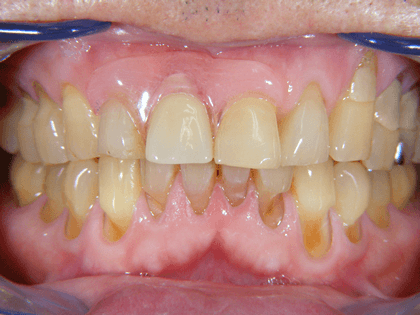
キレイな仕上りで大きく口を開けても義歯 (入れ歯) だと気付かれにくい。
薄くて軽量なので、装着時のフィット感も良好です。
弾力のある特殊な素材なので落としても壊れにくい。
ノンクラスプデンチャーは保険適用外 (自由診療) になります。
また、残っている歯の状態によっては治療が出来かねる場合がございますので、まずはご来院の上ご相談ください。
自由診療で2万円以上のお支払いには
クレジットカードをご利用いただけます。
