you tubeに、ダイレクトボンディングのケースをアップしました。
2024.06.27
ダイレクトボンディング症例
ホームページに矯正とダイレクトボンディングのケース紹介のコーナーを作っていましたが、一つもケースをアップしていなかったので、動画も作ってアップしました。(ブログにはいくつかアップしていましたが・・・)

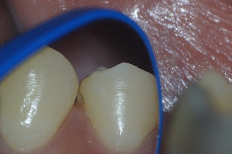
歯と歯の間に虫歯が認められます

ラバーダムを装着します。それにより、唾液と呼気に含まれている水分の侵入を防ぎます。また、安全に治療することが出来ます

マイクロスコープを見ながら、10~20倍の拡大視野で、慎重に虫歯を取り除きます

両隣接面に虫歯が認められます

セパレーターで歯冠離開して、ハイブリッドセラミックレジンを流し込みます

セパレーターを外すと、歯が元の位置に戻ります

この治療は、白くてきれいな詰め物ですが、歯を削る量が必要最小限であること、適合精度に優れること、接着が強固なことなどのメリットがあります。
動画はこちらから臼歯隣接ダイレクトボンディング① (youtube.com)








HOME
TEL
お問い合わせ