矯正ケース①
2024.07.02
歯列矯正症例
7月に入り、天候不順が続きますね。
当医院は、7月も暦通り診療いたします。
体調不良や足元が悪くて通院が困難な場合は、
お早めにご連絡下さい。
今日は、当医院で行っている床矯正(しょうきょうせい)のケースをアップします。
床矯正は、小学校低学年から行う矯正治療です。

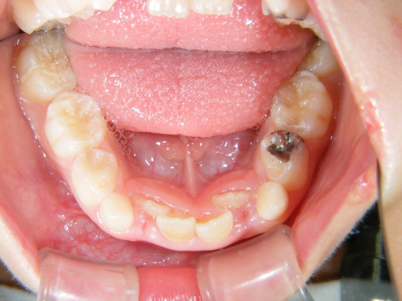
↑こちらは、小学校1年生の患者さんです。
主訴は、前歯の凸凹です。
あごの大きさと、歯の大きさのアンバランスにより起こります。
歯を並べるためにはスペースが必要です。
そのためには、あごを適正なサイズに成長させるか、抜歯して永久歯の本数を減らすかの二つの方法に分かれます。一般的には、歯を抜くことには抵抗がありますので、当医院では、小児の顎の成長を助ける矯正治療を行っています。
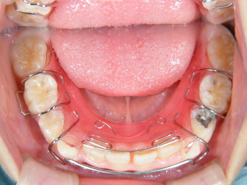
拡大床と言われる、着脱式の矯正装置をセットしました。
1日、14時間以上装着していただきます。
音楽の時間や、体育の時間、給食の時間等、必要な時は外します。
ご自宅で、装置のネジを3日に1度回して、装置を少しずつ広げていきます。
少し広がった装置をお口にセットすることで、歯列が少しずつ広がっていきます。
その時に、しっかり食事を取ることにより、あご骨の成長を促すのも大切なポイントです。

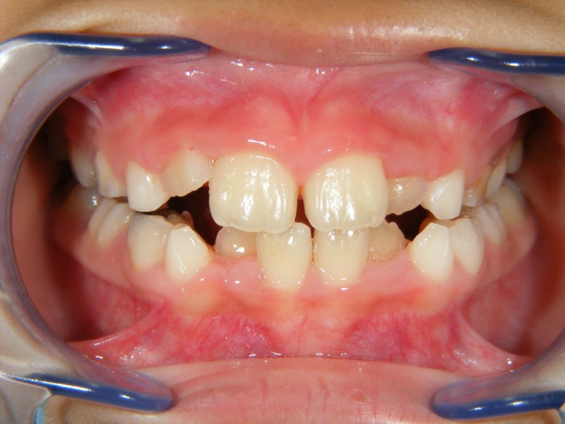
前歯の重なりがなくなったら、歯並びを整える装置に変えます。後戻りも防ぎます。

奥歯の永久歯への交換を待ちます。

↑こちらが初診時。小学1年生。

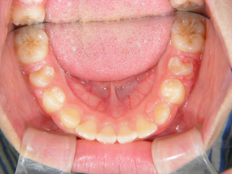
↑こちらは、奥歯も永久歯に生え変わった6年生の写真です。
上あごも狭かったので、下あごと同時に矯正治療しています。
このケース、前歯の凸凹が大きかったため、何もしないで永久歯への生え変わりを待っていたら、抜歯矯正になっていた可能性もあります。
早期に治療を開始したことにより、比較的簡単に、数個の装置で歯並びを改善することが出来ました。
床矯正には、適応症がありますので、全てのケースに対応できる訳ではありませんが、歯並びでお困りの方はお気軽にご相談ください。







HOME
TEL
お問い合わせ