矯正ケース②
2024.07.05
歯列矯正症例
中学生の部分矯正のケースをアップします。

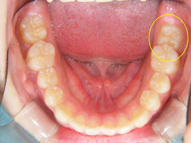
↑左下一番奥の歯(第二大臼歯)が、ひとつ前の歯(第一大臼歯)に引っかかって、萌出できない状態になっています。放置すると、引っかかったままの状態になります。親知らずが成長してくると、治すのも難しくなっていきます。

このようなケース、結構見かけます。
早期治療が大切です。
治療方法はいろいろありますが、今回は患者さんと相談して、着脱式の装置で治療することにしました。
着脱式の装置のメリットは、歯にブラケットと言われる矯正器具を、あまり着けなくても良いことです。
デメリットは、装置を真面目に装着していただかないと、治らないことです。

↑歯型を採って、このような装置を作りました。
バネの力で、奥歯を起こします。

↑装置をセットしたところです。
1日、14時間以上装着します。
月に1回、装置を調整します。

↑半年で起きました。

このケース、早期に治療を開始したことと、真面目に患者さんが装置を入れてくれたことにより、簡単に改善することができました。
歯並び等でお困りのことがありましたら、お気軽にご相談ください。







HOME
TEL
お問い合わせ