前歯が外傷で破折、神経が露出していたが、ダイレクトボンディングで修復したケース
2024.08.08
ダイレクトボンディング症例
前歯が外傷で破折、神経が露出していましたが、ダイレクトボンディングで修復したケースです。

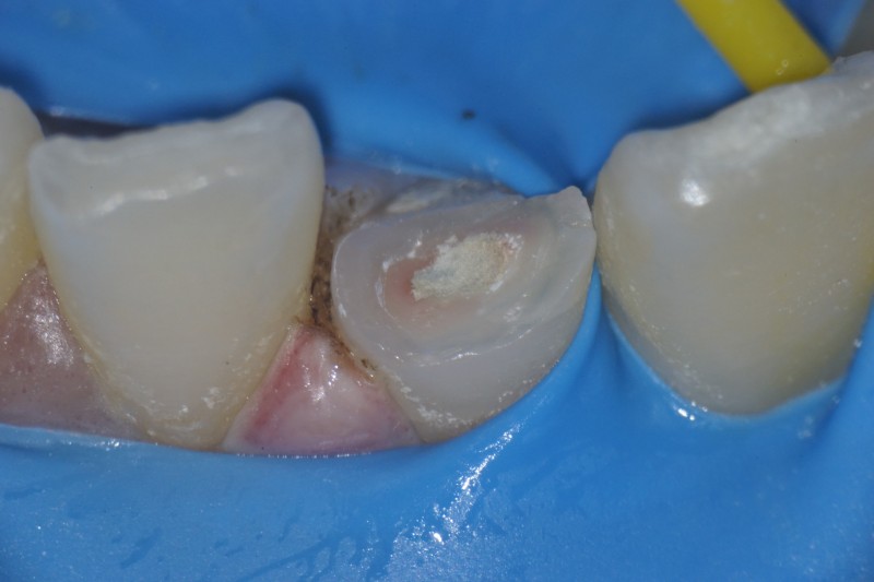
神経が露出しています。

このようなケース、一般的には神経を取ってかぶせ物を入れる治療になると思いますが、神経を取ると歯の寿命は短くなります。
このケースでは、神経を取らずに保存し、詰め物で修復することにしました。

MTAセメントで神経を保護します。

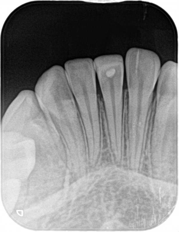
その上をダイレクトボンディングで修復しました。

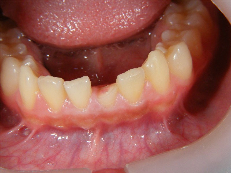
ラバーダムを外して完成です。

神経を保存して、詰め物で修復することにより、極めて低侵襲な治療をすることができました。
治療の動画はこちらから







HOME
TEL
お問い合わせ