矯正ケース③
2024.10.25
歯列矯正症例
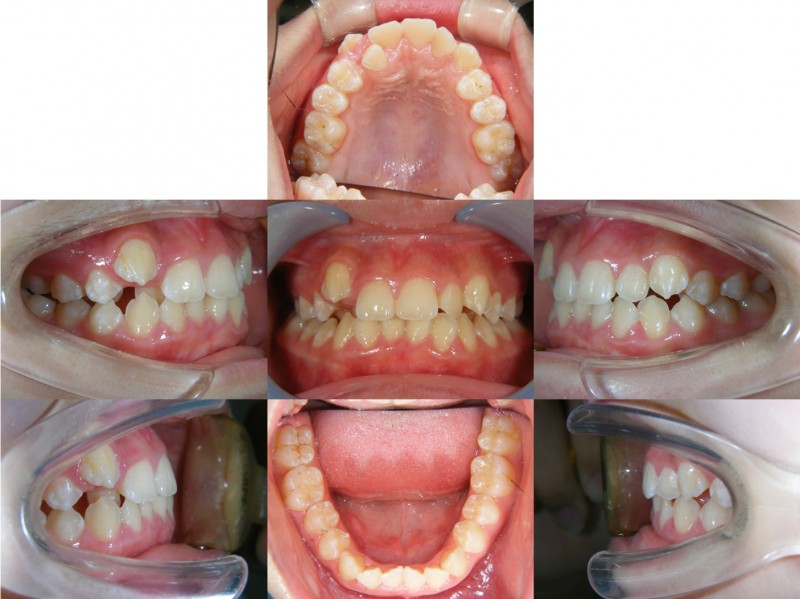
右上の八重歯が気になる中学生の患者様です。
前歯が凸凹になっていますが、右上奥歯のかみ合わせが原因になって、前歯のスペース不足が起きています。

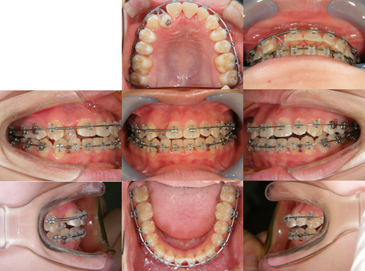
右上にアンカースクリューという小さいピンを立てて、右上奥歯を後方移動していきます。

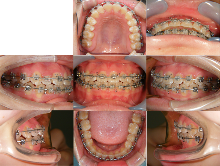
前歯のスペースが出来てきたら、右上2番目の歯を前に出していきます。

前歯にスペースが出来て、並んできました

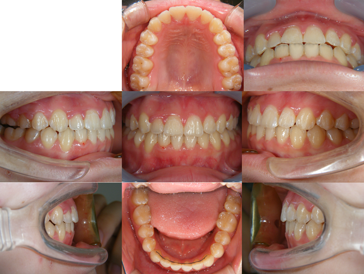
ブラケットを外しました。患者様が非常に協力的だったので、治療期間は1年半でした。
今後は保定して経過観察していきます。








HOME
TEL
お問い合わせ