【インプラント症例】骨幅が狭いケース
2023.05.06
インプラント症例

歯根破折して、歯の周りの骨が下がっています。
状態が悪く、保存できなかったため、抜歯することになりました。

2か月、歯肉の傷の治りを待ちました。
レントゲン、CT診査にて、骨の幅が少なかったため
埋め込みと同時に骨幅を増やすGBR(骨誘導再生法)を行うことにしました。

埋入直後の写真です。
少し歯肉を開いて、骨造成しています。麻酔は、普通の歯科治療の局部麻酔です。
1週間で抜糸し、その後2か月ほど待ちます。

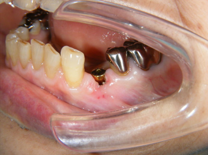
二次オペ
2か月ほど待って、歯肉に隠れているインプラントを見えるようにする
二次オペと言われる処置をします。
ここから2週間待って、型採りを行います。

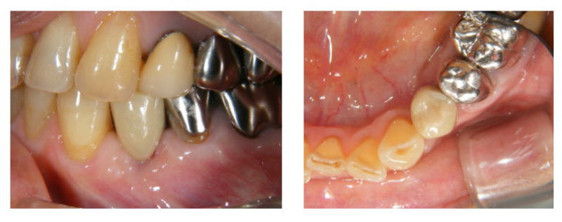
(写真左側)
歯型を採って、上部構造を作ります。
このケースもジルコニアです。
ネジで止めるシステムです。
(写真右側)
鏡にのせて写真を撮っています。
ネジ穴が咬み合わせの面の中心になるように
埋め込みしています。

口腔内にセットします。
ネジで止めるシステムです。
骨造成した部分も、しっかり骨になっています。

ネジ穴を白い詰め物で塞いで完成です。







HOME
TEL
お問い合わせ