【インプラント症例】インプラント上の義歯ケース
2023.06.03
インプラント症例

奥歯が2本残っていますが、歯周病でグラグラになっています。
義歯をお使いでしたが、残存歯の状態が悪く、義歯の調子も悪いのでインプラントを希望されました。
インプラントを6本ほど入れて、固定式のブリッジにするプランも考えられますが、治療も大掛かりになります。
このケースは、前歯の部分に2本インプラントを埋め、それを固定源にしてインプラント上で義歯を使用することになりました。費用もブリッジより抑えられます。

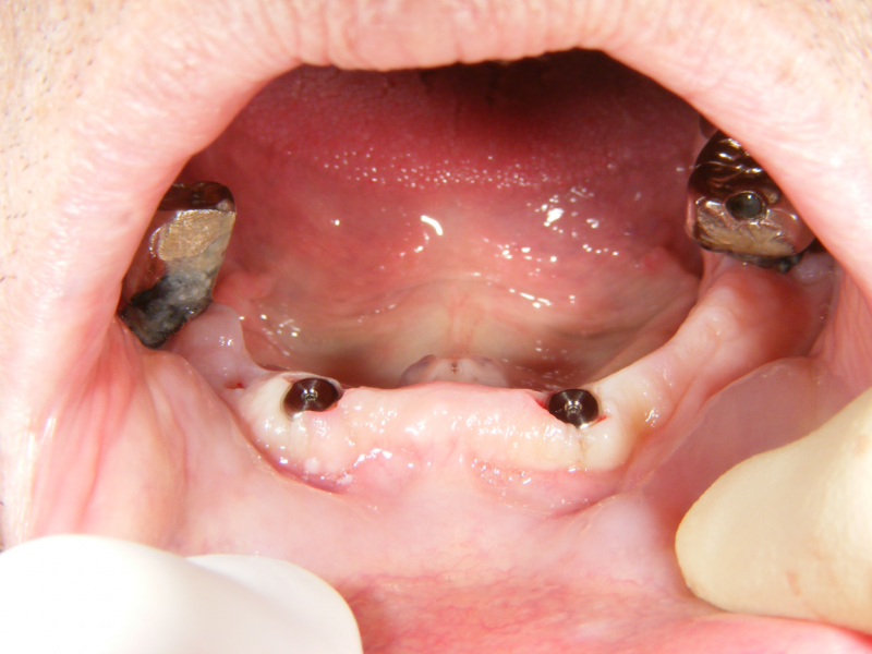
2本インプラントを埋入しました。直後の写真です。
このケースも、歯肉を開かずに埋入しています。
この状態で2か月待ちます。その間も、義歯は使用できます。

インプラントと骨が結合した後、ロケーターと言われるアタッチメント(ボタンのようなもの)をインプラントと義歯に装着します。
このシステムで、義歯を固定することができます。義歯が安定することで食事内容が大きく改善されます。
義歯の青い部分は、ゴム製なので経年劣化して義歯の維持力が落ちます。
ゴムは数年に1度、定期的に交換する必要があります。







HOME
TEL
お問い合わせ