【インプラント症例】ガイドを使って、シミュレーションどおりに埋め込みしたケース
2023.09.09
インプラント症例

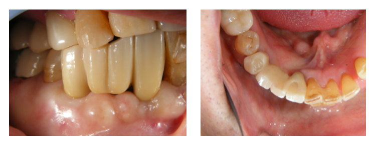
歯周病で抜歯になったケースです。
抜歯後、数ヶ月骨の治癒を待ち、CT診査しました。
骨幅が狭いのと、インプラントブリッジで平行性が求められるため
ガイドを使って埋め込みする計画にしました。


写真は鏡にのせて撮ったものです。
骨とインプラントが結合するのを2ヶ月待って歯型を採り、
上部構造を作ります。
ネジで固定するシステムです。

ネジで固定します。
前歯はネジ穴が見えないところになるように埋め込みしています。

ネジ穴を白い詰め物でふさいで完成です。







HOME
TEL
お問い合わせ